インスタフォローしていただいた方へ🪽
ホワイトニング照射時間を
16分⇒20分へ延長させていたします!
16分⇒20分へ延長させていたします!
照射時間が長くなるとどう変わるの?
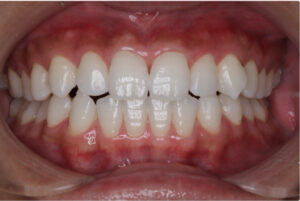
1️⃣ホワイトニングの効果がUP!
ホワイトニングでは、光照射することで薬剤を活性化させて内部の黄ばみをとっていきます。
照射時間が長くなると、よりしっかり薬剤が作用して効果がUPします
8分×2回→10分×2回なので合計で4分照射時間を伸ばすことができます!
2️⃣白さが持続する!
効果がアップするとより早く白くできて、より白くなることで色戻りが緩やかになります。
ご来院の際にInstagramを「s_kobayashidc」をフォローしていただき、
スタッフに画面をご提示ください!
初めてご来院いただく方も大歓迎です🍀
