こんにちは!
新江古田こばやし歯科クリニックです🦷
HELLO KITTYパッケージミニチュアコレクション🎀˚✧₊⁎
平成1桁ガチ◯◯◯の私には、ささりまくりのガチャガチャに、ついに出会えました!
お目当ては日焼けキティ👙🏝️🎀
…ですが、結果は全部白いキティちゃん。
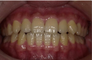
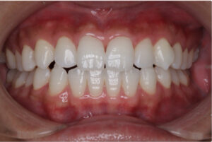
白いキティに恵まれたみたいなので、今回のガチャガチャブログは 『ホワイトニング』 についてお話ししようと思います🦷✨
当院では9月よりホワイトニングをリニューアルしました!
そこで、皆さまからよくいただくご質問にお答えします🫧
Q. 痛みはありますか?
A. しみて痛みを感じる場合がありますが、当院では『しみどめ』を塗布することが可能です。
実は私もしみやすい体質で、1度目の体験ではしばらく痛みが続きました😖
ところが後日の施術では、しみどめを塗ってもらったところ、施術中もその後も全く痛みを感じずに快適に過ごせました。とてもおすすめです!
Q. 時間はどのくらいかかりますか?
A. 初回のホワイトニングは、カウンセリングを含めて約90分いただいております。
既存の患者さまも、ホワイトニングをきっかけにいらしていただいた方も、初回は皆さまに丁寧なカウンセリングを行っています。
理想の白さを一緒に目指すために、このお時間を大切にしております。
2回目以降のオフィスホワイトニング(院内で行うホワイトニング)は、約60分を予定しています。
白いキティちゃんに恵まれたように、
皆さまにも “白い歯”との出会い をお届けできたら嬉しいです🫶🏻
気になる方は、ぜひお気軽にご相談ください☺️
